インプラントの症例一覧
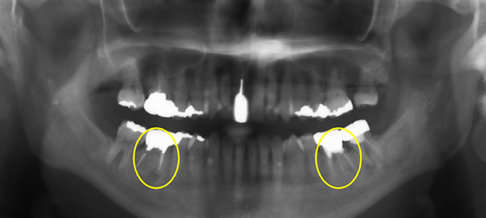
下顎両側の大臼歯を抜歯してインプラントで治療した症例

下顎両側の大臼歯を抜歯してインプラントで治療した症例 こちらの患者さまは、右下奥歯が腫れて痛みがあり、食べられないとのことで当院に来院されました。 レントゲン上で右下の6番目の根の先端に大きい影が見られます。また左下も噛 […]
下顎奥歯の大きなブリッジをインプラントに変更した症例

下顎奥歯の大きなブリッジをインプラントに変更した症例 こちらの患者さまは「左下奥歯が痛む」とのことで来院されました。 初診時の口腔内写真 初診時の口腔内写真です。主訴である左下奥歯には、4本分のブリッジが装着されていまし […]
破折した奥歯のブリッジをインプラントで治療した症例

破折した奥歯のブリッジをインプラントで治療した症例 こちらの患者さまは、右下の奥歯のブリッジ部分にい痛みがあるとの主訴で来院されました。 レントゲン画像で確認すると、奥歯に装着したブリッジの支えとなる歯が破折していました […]
歯周病で抜歯した部分をインプラントで治療した症例

歯周病で抜歯した部分をインプラントで治療した症例 こちらの患者さまは、奥歯を歯周病で抜歯して食事がしづらいのでインプラント治療を検討していると来院されました。 インプラント治療の実施 抜歯後4ヵ月ほど経過しており、しっか […]
保存不可能な破折歯を抜歯してインプラントで治療した症例

保存不可能な破折歯を抜歯してインプラントで治療した症例 こちらの患者さまは、右下奥歯が腫れて痛みがあり、食事ができなとのことで来院されました。レントゲン検査の結果、右下の6番目の根の先端に大きい影が確認できました。 まず […]
歯茎切らない・縫わないフラップレスインプラントの症例

歯茎を切らない・縫わないフラップレスインプラントの症例 過度な筋トレによって歯がガリっと音がし、痛みが出て食事が取れないとのことで当院に来院された40代の患者さまです。 当該部位は歯根破折していたため、抜歯を行いました。 […]
欠損した右上奥歯をインプラントで治療した症例

欠損した右上奥歯をインプラントで治療した症例 こちらの患者さまは、右上奥歯がなく物が噛めないとの主訴で来院されました。患者さまと相談し、インプラント治療で咬み合わせを改善する計画を立てました。 まずはCT撮影を行って骨の […]
抜歯後にインプラントで咬み合わせを改善した症例

抜歯後にインプラントで咬み合わせを改善した症例 こちらの患者さまは、左上臼歯を押すと神経にさわる感じがして痛いとの主訴で来院されました。検査の結果、左上臼歯は保存できないと診断しました。患者さまと相談し、抜歯した後にイン […]
インプラントオーバーデンチャーによる全顎的治療

インプラントオーバーデンチャーによる全顎的治療 年齢・性別 60代女性 治療期間 約9ヵ月 治療費(税込) 3,835,700円 備考 インプラントオーバーデンチャー リスク・注意点 ・上顎洞炎・血圧上昇 治療説明 こち […]
他院で抜歯した部分をインプラントで治療した症例

他院で抜歯した部分をインプラントで治療した症例 こちらの患者さまは他院でむし歯だったところを抜歯し、インプラント治療ができないと診断されたので当院で診てほしいという主訴で来院されました。患者さまと相談し、入れ歯にはしたく […]



